Tudta-e?
Egy átlagos emberi agy a testsúly mindössze 2%-át teszi ki, és a belélegzett oxigén 25%-át használja fel. A vesék az oxigén 12%át, míg a szív csupán 7%-át használja el.

61. szám - 2008. október 20.

Tudnivalók a tüdőgyulladásról

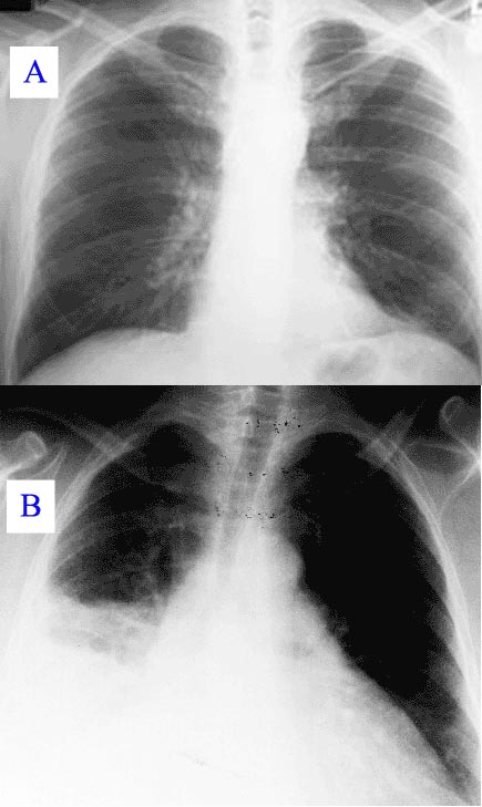
A tüdőgyulladás orvosi neve pneumonia, a betegséget leggyakrabban bakteriális fertőzés okozza, ritkán vírusos, vagy gombás eredetű is lehet. Általában vírusos légúti betegség előzi meg a baktériumok okozta tüdőgyulladás kialakulását.

A tüdőgyulladásnak két típusa van kórokozók szerint: létezik típusos, és atípusos tüdőgyulladás. Ezek a kórokozók belégzés útján jutnak be az alsóbb légutakba, és gyulladásos folyamatot indítanak el.

A tüdőgyulladásoknak, ha nem kezeltetjük időben, számos szövődménye kialakulhat, sőt vannak esetek, amikor halállal végződik. Kialakulhat tüdőtályog, vagy másodlagosan mellhártyagyulladás, melynek következtében a mellhártya üregében folyadék szaporodhat fel, ami légzési nehézséget okozhat a betegeknek.

A típusos tüdőgyulladás legfőbb tünetei: hosszan tartó köhögés, bő váladékürítés, melynek színe sárgás-zöld, gyengeségérzet, szürkés bőr, naponta többször magasra szükő láz. A súlyos tüdőgyulladásban szenvedők légzése általában nagyon szapora, felületes. A felköhögött váladék a gyomor-bélrendszert ingerli, ezért ez hányingert vagy hányást okozhat.

Az a típusos tüdőgyulladás a serdülőket és a fiatal felnőtteket érinti leginkább. A betegeknek nincsen magas lázuk, azonban hosszan tartó hőemelkedésük lehet. Az atípusos tüdőgyulladásnál is jellemző az elhúzódó köhögés és a zöldes színű felköhögött váladék.

Ha észleljük a tüneteket, és az orvos megállapítja a tüdőgyulladást, antibiotikumos kezelést fog javasolni. Emellett a tüneteket is kezelni kell, fontos a lázcsillapítás, a megfelelő folyadékbevitel és a vitaminpótlás, mely mind segíti a gyógyulást.

ISSN 2334-6248 - Elektronikus folyóiratunk havonta jelenik meg. ©2026 Fókusz. Minden jog fenntartva!
Design by predd | Code by tibor